Radyoloji

Dual Enerji Bilgisayarlı Tomografi


 

Çift Kaynaklı BT (DSCT), her biri bir X-ışını tüpü ve bir tane karşılık gelen detektörden oluşan iki veri ölçüm sistemi ile donatılmıştır. İki ölçüm sistemi, gantri içerisinde birbirine 90 derecelik açı ile yerleştirilmiş olup bu dizilim benzersiz avantajlar sağlamaktadır. Konvansiyonel çok kesitli BT’de ise sadece bir tek X-ışını tüpü kullanır.

İki X-ışını kaynağı / detektör sistemi, görüntü verisini, geleneksel teknoloji ile gerekli olan sürenin yarısında eşzamanlı olarak yakalar. DSCT ile temporal çözünürlüğü tek bir CT'ninkiyle kıyaslandığında 83 ms'ye çıkarmak ve görüntüyü radyasyon dozunu önemli ölçüde azaltarak elde etme hızını arttırmak mümkündür.

Dual enerji, sistemin, enerji ayrımını iyileştirmek için farklı enerji seviyelerinde eşzamanlı olarak iki X-ışını kaynağı kullandığı anlamına gelir; bu görüntülemede yüksek hassasiyet ve özgüllüğün anahtarıdır. Bu, sadece yağ, yumuşak doku ve kemik arasında değil, aynı zamanda kalsifikasyonlar ve kontrast madde arasında, onların atenüasyon profillerine dayanarak farklılaşmayı mümkün kılar. Ayrıca, akciğer, miyokard veya tümörlerde iyot konsantrasyonu gibi fonksiyonel parametreler de elde edilebilir.

Dual Enerji Bt İle Üriner Sistem Taşlarında Analiz

Üriner sistemde taşların yapısı hidroksiapatit, sistin, ürik asit , oksalat taşı, mikst taş gibi

BT ortamında yapılmaktadır.  Böylelikle laboratuar ortamına gerek kalmadan taşın yapısı ve taş kırma yöntemi ile tedavi olup olamayacağı kararı verilmektedir.,

Dual Enerji İle Pulmoner Bt Anjiografi

Akciğer damar tıkanıklığı (Emboli) tanısında Bilgisayarlı Tomografi ile gerçekleştirilen Anjiografi yöntemi Standard tanı yöntemi olarak kullanılmaktadır. Bununla beraber, bu tetkik sırasında kullanılan iyot içerikli kontrast maddelerin böbreğe toksik (zararlı) olabilmesi bu tetkikin kullanılabirliğini sınırlandırmaktadır. Bu hasta grubunun genelde ileri yaşta olması ve başka sağlık sorunlarının da bulunması böbrek hasarının artmasına yol açabilmektedir.

Yeni uygulamaya girmiş olan Dual-enerji tomografi sistemleri ile çok daha düşük kontrast madde kullanılarak akciğer damar görüntülemesi (Pulmoner  Anjiografi) yapılabildiğini gösteren çalışmalar gerçekleştirilmiştir. Burada sistemin düşük enerjili X ışını kulanma özelliğinin, kullanılan kontrast madde ile sinerjik etki göstererek, kontrast maddeyi çok daha parlak göstermesi ve bu sayede kontrast madde dozajını düşürmesi özelliğine dayanmaktadır.

Sistemin bu özelliği sayesinde, Başkent Üniversitesi Adana Hastanesi bünyesindeki yeni versiyon Dual-Enerji bilgisayarlı tomografi cihazında da normalde diğer merkezlerde kullanılan kontrast maddenin yaklaşık 1/3 miktarı ile son derece başarılı Akciğer damar görüntülemesi (Pulmoner  Anjiografi) ve aynı seansta akciğerlerin kanlanma düzeyini gösteren “Perfüzyon” değerlendirmesi de yapılabilmektedir. Bu sayede merkezimizde, başta böbrek sorunu olan hastalar olmak üzere birçok hasta grubunun kontrast madde kaynaklı böbrek hasarı (nefrotoksisite) olmadan akciğer damar yatağı (Pulmoner  Anjiografi) görüntülemesi yapılabilmektedir.

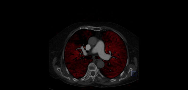
OLGU 1.

Sağ üst lobta Kronik PTE perfüzyon defekti gözlenmektedir.

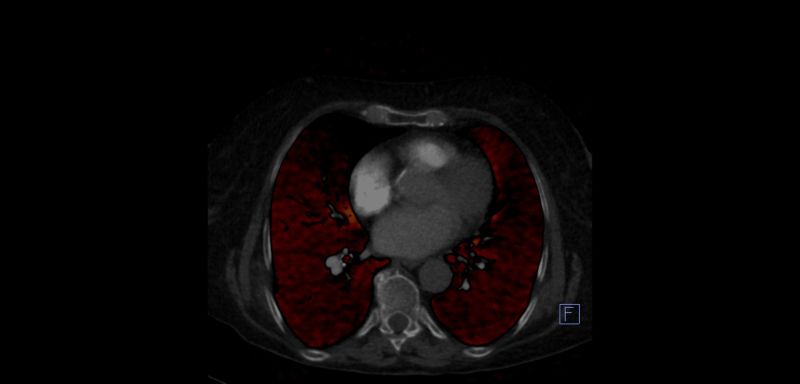
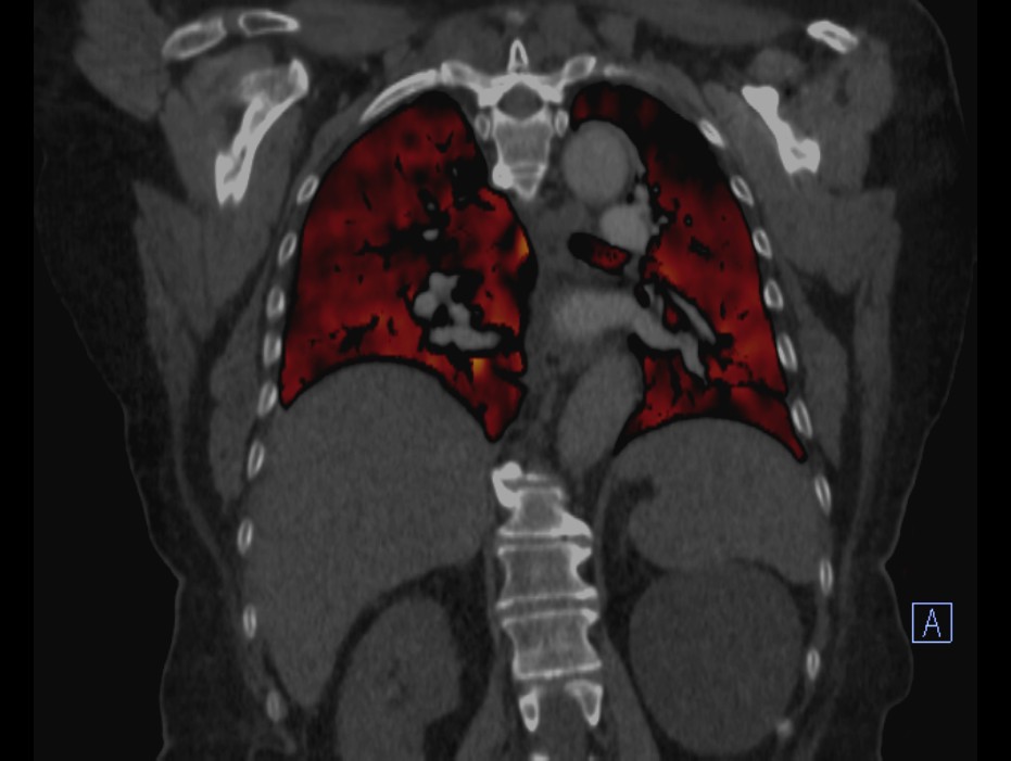
OLGU 2.

 Normal tomografide PTE demostre edilememiştir. Dual BT Perfüzyon BT ile Kronik Pulmoner Emboli'si olan olguda sağ orta lobta perfüzyon defekti gözlenmektedir.