Hastanemizde Kardiyak BT Anjiyografi çekimi en son teknoloji ile yapılmaktadır.
Hızlı, güvenilir ve yüksek çözünürlüklü görüntüler elde edilmektedir.
Koroner BT Anjiyografi 1 ile 5 mm kalınlığındaki çok ince koroner arterleri gösterebilen, en etkin ve kolay uygulama yöntemidir.
Radyasyon oranı çok düşüktür.
Yaşlı, bebek ve obez hastalar da işlemde kullanılan ilaç miktarı minumum seviyede tutularak güvenilir çekimler yapılabilmektedir.
Kalbin yapısı 3 boyutlu incelenerek, ani ölümlere neden olan koroner arter anomalileri ve kalp kası sıkışmaları önceden tespit edilebilmektedir.
Kalp damarları içerisindeki kalsifik plakların tanımlanmasına yardımcı olarak, kullanılacak olan stentlerin önceden planlanabilmesi konusunda bilgi vermektedir.
Koroner BT Anjiyografi ile kalp damarlarının yanı sıra vücudumuzdaki beyin damarları, boyun damarları, kol ve bacak damarları değerlendirilebilmektedir.
Tanımlanamayan ağrıyla gelen hastalarda koroner arter, akciğer embolisi, anevrizma ve diseksiyon tanıları hızlı bir şekilde tespit edilebilmektedir.
Koroner By-Pass cerrahisi geçiren hastalar ile stentleri bulunan hastaların rutin kontrolleri yapılabilmektedir.
Akciğer embolisi durumlarında, akciğere kan taşıyan damarların yapısı değerlendirilebilmektedir.
Böbrek ve üriner sistem taşlarının yapısı incelenmekte ve özellikleri belirlenerek en kısa sürede doğru müdahalesi sağlanabilmektedir
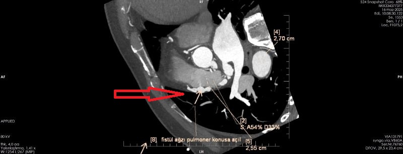
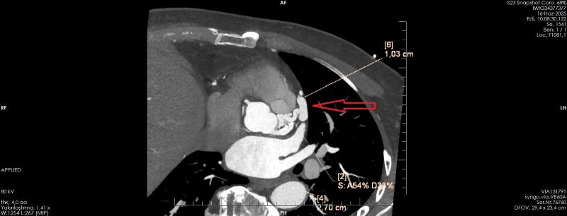
OLGU:
Koroner arterin pulmoner artere füstülizasyonu ile Koroner BT Anjiyografi ile demosterize edilmiş olgu örneğidir.



